Astrágalo vertical congénito
14 Abr 2015Es un tipo de pie plano rígido infantil conocido también como “pie en balancín”. Su frecuencia es relativamente baja y se caracteriza por producirse una luxación dorsal irreductible del escafoides sobre el astrágalo, debido a la posición vertical de este último.
Se suele presentar desde el nacimiento y según datos epidemiológicos puede aparecer en un 50% de forma aislada y otro 50% asociada a otras alteraciones. En un 50% de los afectados suele producirse en ambos pies.
Existen diferentes clasificaciones, según su etiología Ogata y cols. Establecen una clasificación de 3 tipos:
1.- Idiopático. // 2.- Genético. // 3.- Neuromuscular.
Es un tipo de pie plano rígido infantil conocido también como “pie en balancín”. Su frecuencia es relativamente baja y se caracteriza por producirse una luxación dorsal irreductible del escafoides sobre el astrágalo, debido a la posición vertical de este último.

Se suele presentar desde el nacimiento y según datos epidemiológicos puede aparecer en un 50% de forma aislada y otro 50% asociada a otras alteraciones. En un 50% de los afectados suele producirse en ambos pies.
Existen diferentes clasificaciones, según su etiología Ogata y cols. Establecen una clasificación de 3 tipos:
1.- Idiopático.
2.- Genético.
3.- Neuromuscular.
Teorías refieren que la causa de desarrollo de un AVC (astrágalo vertical congénito) se puede deber a una alteración en el desarrollo evolutivo del pie entre las semanas 7 y 12 de gestación. Así como un aumento de presión intrauterina en dicha zona que provoca un aumento de contracción tendinosa.
Un paciente con AVC que acude a consulta suele presentar las siguientes características:
– Contractura de las estructuras y tejidos dorsales del mediopie (acortamiento tendones Tibial Anterior y Extensor común de los dedos).
– Limitación del movimiento del tobillo a la flexión dorsal pasiva (acortamiento complejo gastrocnemio).
– Prominencia de la cabeza del astrágalo.
– Buena flexión dorsal del mediopie y limitación a la flexión plantar del retropie.
– Convexidad en planta del pie.
– Alteraciones del músculo Tibial Posterior y ligamento de Spring.
Realizar una buena exploración y pruebas exhaustivas así como test biomecánicos específicos es esencial para establecer un correcto diagnóstico. En ocasiones la realización de radiografías es importante para la confirmación de AVC.
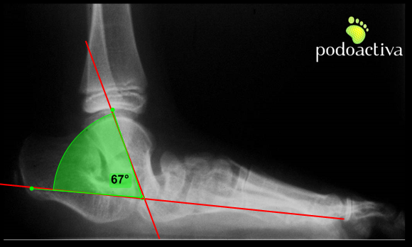
A nivel radiológico se pueden obtener medidas alteradas de diversos ángulos en proyecciones dorsoplantar y sagital. Prestaremos especial atención al ángulo radiográfico sagital TAMBA:
– El ángulo del eje del astrágalo con la base del primer metatarsiano (TAMBA):
– Entre 30º y 60º lo consideraremos astrágalo oblicuo.

– Valores por encima de 60º los consideraremos astrágalo vertical.

En función de la exploración biomecánica se establece el tratamiento adecuado. Los podólogos generalmente nos encontramos con estos pies en la 2º fase del tratamiento, cuando ya se han realizado otras terapias en el nacimiento por parte de Neonatología y Traumatología Infantil.
En recién nacidos el tratamiento inicial puede ser quirúrgico o físico/rehabilitador. En el caso que sea quirúrgico se valoran las estructuras musculares y osteoraticulares que se deben intervenir para mejorar la posición del astrágalo y la anatomía del pie.
En el caso de tratamiento físico/rehabilitador se realizan manipulaciones/movilizaciones y los yesos seriados, colocando el pie en inversión, aplicando contrapresión a la cara interna del astrágalo. Se busca la elongación y el estiramiento de la articulación astrágalo-escafoidea con el fin de facilitar su reducción y evitar la compresión del escafoides desplazado dorsalmente sobre el astrágalo. Se coloca un yeso desde los dedos del pie hasta la rodilla, flexionada a 90°. El yeso se debe cambiar cada 7-10 días aumentando el grado de corrección.
Lo más importante es el diagnostico precoz para intentar en medida de lo posible instaurar el tratamiento físico/rehabilitador lo antes posible y mejorar el pronóstico sin cirugía.
A partir de los 3 años de edad, en función del grado de deformidad residual, se decide la aplicación del tratamiento mediante plantillas infantiles correctoras.
Lo más habitual es que este tipo de pies con AVC (después de los tratamientos en la fase de lactante), presenten algo de aplanamiento de la bóveda plantar y precisen de tratamiento ortopodológico. Suelen quedar astrágalos algo verticalizados que se pueden incluir en el grupo de los astrágalos oblicuos. Los tratamientos mediantes plantillas básicamente suelen consistir en controles mediales intrínsecos (por el talón interno de la plantilla), con extensiones de aletas internas para sujetar bien la articulación astrágalo-escafoidea y con arcos plantares que generen cierta geometría (siempre que sea tolerable).
En siguientes entradas del Blog ilustraremos algún caso clínico de astrágalo oblicuo con su tratamiento ortopodológico.
Israel Casado Hernández y Antonio Gómez Bernal
Podólogos expertos en Biomecánica
Podoactiva Madrid y Podoactiva Huesca








