Dolor en el arco plantar. Origen y tratamientos del fibroma plantar
29 Nov 2016
Si has encontrado un bulto en el arco plantar, es muy probable que haya desarrollado un fibroma plantar (también conocido como fibromatosis plantar cuando se desarrollan en conjunto). Esta patología se encuentra enmarcada dentro de la enfermedad de Ledderhose y es un crecimiento anormal de la fascia plantar acompañado con un crecimiento benigno o nodular, afectando con mayor frecuencia a varones.
¿Cuál es su origen?
Actualmente se desconoce su origen, pero los últimos estudios afirman que tienen íntima relación con microtraumatismos de repetición. Esto se debe a que cuando caminamos o practicamos cualquier actividad deportiva, un exceso de arco plantar (pie cavo) o un desplome hacia el interior del arco plantar (pie valgo) provocan una mayor tensión en la fascia plantar, ya que ambos comparten una disminución del apoyo lateral externo. Este estiramiento excesivo puede conducir a la formación de los fibromas condicionado por una fuerte predisposición genética.
¿Son dolorosos los fibromas plantares?
Los fibromas por si solos no causan dolor, es la presión directa sobre el fibroma la que puede dar lugar a dolor en arco plantar cuando caminamos, estamos de pie o en la práctica deportiva. Normalmente los síntomas se describen como sensación de cuerpo extraño en la planta del pie (como una piedra dentro del calzado) cuando traccionamos la fascia plantar.

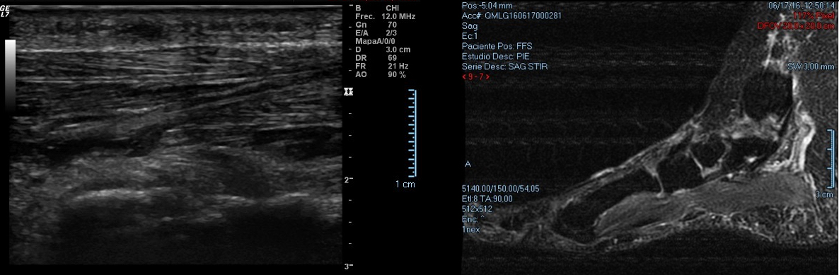
¿Cómo se diagnostican?
En general se pueden diagnosticar mediante la exploración clínica y una correcta anamnesis. A su vez nos apoyaremos en ecografías o RMN para visualizar la masa fusiforme, delimitar el grosor y diferenciar estructuras afectadas. A nivel de la zona dolorosa se puede apreciar una formación fusiforme de 15 mm hipoecogénica adyacente a la fascia plantar

Tratamientos
Dependiendo del estado real de la lesión tras estudio:
Trabajo multidisciplinar, por un lado en estadios iniciales de fase aguda:
- – Masoterapia
- – Electroterapia
- – Ondas de choque
- – Estiramientos
- – Medicación antiinflamatorio no esteroideo
- – Infiltración local con corticoides
- – Plantillas personalizadas
En estadios de la lesión en los cuales todos los tratamientos citados anteriormente no han conseguido reducir la molestia y la masa sigue creciendo impidiendo realizar cualquier tipo de actividad, se valora la cirugía como tratamiento definitivo.
Como ya hemos visto anteriormente, el exceso de tracción de la fascia plantar está íntimamente relacionado con el origen causante de la lesión, de ahí la importancia de conocer con un completo estudio biomecánico las causas reales de la lesión e incidir con un tratamiento de plantillas personalizadas en un correcto reparto de cargas acompañado con descargas selectivas, evitando así el apoyo de la zona afecta.

Pablo Marín Rubio
Podólogo especialista en Biomecánica.
Podoactiva Málaga.









ROCIO APLOLINAR JUAN
Posted at 19:40h, 09 juliocosto dela cirugia de fibroma
costo dela cirugia de fibroma plantar
Podoactiva
Posted at 09:27h, 10 julioBuenos días Rocío. Las
Buenos días Rocío. Las intervenciones quirúrgicas las realizamos en Clínica Podoactiva Olavide en Madrid (https://goo.gl/iFLwVE) y en Clínica Podoactiva Sagasta en Zaragoza (https://goo.gl/oEzcU4). En los enlaces anteriores encontrará el teléfono para que pueda ponerse en contacto con el centro y le digan el coste total de la cirugía. Un saludo.